If you’re looking for a dentist in Marco Island, FL, then Dr. Van Dyke can’t wait to meet you!
Welcome To Island Tower Dentistry
Your Trusted Marco Island Dentist
Marco Island Dentist Dr. Jonathan Van Dyke has the training, skills, and experience to address all of your dental concerns. Whether you are networking at the office or meeting friends for happy hour—your smile is often your first impression. A confident, healthy smile can open doors for you, so protect one of your most important personal assets.
We know how important your oral health is for your appearance and your confidence, so we offer only high-quality dental services that will keep your teeth and gums at their peak. Additionally, if you are experiencing a dental emergency, please contact our office immediately. Even it is after hours, or on the weekend, we will be in touch soon.

Meet Dr. Jonathan Van Dyke
Dr. Jonathan Van Dyke serves Marco Island patients with much acclaim due to his advanced dentistry skillset and commitment to patient comfort. After receiving his Doctorate in Dentistry from the LECOM School of Dental Medicine in Bradenton, Florida—Dr. Van Dyke returned to his home state of Washington. During this time, he practiced dentistry in Spokane and pursued advanced education with studies in endodontics, oral surgery, and implant dentistry.
Since he originally studied dentistry in Florida, Dr. Van Dyke was eager to call Marco Island, Florida home for its beautiful weather and wildlife. As a result, Dr. Van Dyke quickly became one of Marco Island’s renowned dentists for residents and visitors alike. Above all, Dr. Van Dyke is devoted to enriching Marco Island with the latest advancements in dental technology.
Patient Testimonial Spotlight
Marie from Marco Island Recounts her Dentist Office Experience
“As a new patient, I arrived for my appointment as scheduled where I was immediately greeted by a warm and cheerful staff who, for my comfort, offered me a hot or cold beverage. The waiting room was quiet, clean and inviting. Within minutes I was escorted into an examining room where x-rays and photos of my teeth were taken. Voices throughout the practice were soft and courteous. I don’t remember being this relaxed in a dental practice. Shortly thereafter Dr. Van Dyke arrived to evaluate the condition of my teeth. This lead to a conversation with an intelligent and remarkably thorough dentist who not only dotted the i’s and crossed the t’s but performed a procedure to correct an issue I was having with one of my molars. Dr. Van Dyke explained each step he would be taking during this procedure. His voice was calming and reassuring. There was no hurrying whatsoever. Any questions I had for him were received as though I was talking with a friend who also happened to be an expert on the matter. I don’t suppose many say this coming out of a dental appointment; but, I’m looking forward to my follow-up.”
-Marie T.
Island Tower Dentistry makes your Dentist visit as Comfortable as Possible
We understand that you want the best dental care possible, and equally importantly, you want an enjoyable experience every time you visit. That is why we have assembled a world class dental team and office staff that will work tirelessly to make your visit as comfortable as possible.
Whether you need an emergency dentist to perform an immediate root canal, or a cosmetic dentist to replace missing or loose teeth with dental implants, we are here to provide timely care at the highest possible standards.
Trust Dr. Van Dyke as Your Dentist in Marco Island
In addition to standard oral health services such as a dental exam and cleaning, Island Tower Dentistry also offers a suite of state-of-the-art cosmetic dentistry procedures such as teeth whitening, porcelain veneers, and gum contouring that will keep your smile looking its best.
Feel free to discuss financing options with our knowledgeable staff. We also accept a variety of dental insurance plans, and we can offer a personalized payment plan for your convenience. Above all, we cherish the opportunity to improve your oral health, and our team will strive to find the right finance plan for you.
General Dentistry
Oral health is foundational to your overall health, so Island Tower Dentistry is committed to maintaining your teeth and gums at peak health. We offer a wide array of services from routine checkups and cleanings to more involved procedures such as veneers, dental implants, crowns, bridges, dentures, and laser periodontal surgery (LANAP).
We know how important your dental health is, so trust us to help you keep it that way and call your dentist today. Above all, if you need an emergency dentist, Marco Island is small enough that our dedicated team should be able to meet you in our office without too much delay.
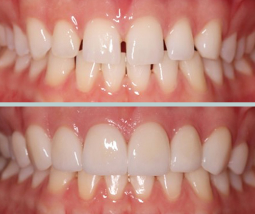
Cosmetic Dentistry
Besides the numerous oral health benefits, a magnificent smile can dramatically change your life. Accordingly, Island Tower Dentistry offers cosmetic services like advanced teeth whitening, veneers, cosmetic sculpting, dentures, inlays and restorative materials to amplify the brilliance of your smile. All in all, for the best in Marco dental care relating to cosmetic work, we highly recommend that you consult with your Marco Island Dentist, Dr. Van Dyke.
What Our Clients Have To Say…
The Best
Dr Van Dyke and his professionals are incredible! Best dentist and dental office I’ve ever used.
Rick B
Experience was Great!
Dr. Van Dyke was very professional and the staff was knowledgeable and curious. My experience was great.
Rob L
Very Professional Teamwork!
Very professional teamwork! Dr. Van Dyke is an absolutely pleasant, delicate and very gentlemanly person who aspires to
meet customer requirements. Leaves a good impression. The only issue is dental cosmetics. But with my request everything was done excellently! Thank you. It is impressive!
Yelena W
I’ve Been a Patient for Several Years
I went in for a cleaning today with Cody. I have been a patient at this facility for several years and as always Cody is excellent at her job. She has been the best technician I’ve ever had as far as cleaning and being gentle during x-rays and the cleaning procedure as well. That’s why I have chosen to stay with her for these past several years. I do know from experience from family members that their other technicians are excellent as well. Like I mentioned I have two family members that also go to this dentist and they are very pleased with the practice as well. We use both doctors, Van Dyke and Brian interchangeably as they are both excellent doctors. And as far as the staff meaning the office people up front, I couldn’t be more. Pleased working with them from beginning to end. They are friendly, efficient and very nice to work with always. I think that’s all I can say when you’re with the best you’re with the best and that’s the way I feel after having many dentists over my 60 years. I will stay with this practice forever. 💖
Garrett K
Kind, Knowledgeable, & Caring
I recently had teeth cleaning done by Veronica. It was a very good experience. She is kind, knowledgeable, caring and have an excellent bedside manners.
I already scheduled a return visit soon.
She is a wonderful professional!
Jafar A
5-Stars!
5-Star!! I am so glad I found this Dentist office. As a first time patient I was looking for straight forward honest advice. That is exactly what I found, and Lorraine my hygienist did a great job. I look forward to working with Island Dentistry again in the future.
Mark U
Me Teeth Look Great!
I had a great experience on 9/21/23 with Veronica as my hygienist I felt very comfortable and confident with her skills. She was very attentive, gentle and understanding of my anxiety due to past dental experiences. My teeth look great! The entire office is friendly and welcoming.
Robin B
So Pleasant and Kind
My first appointment at Island Tower Dentistry was in late September, Everyone was so pleasant and kind, such a great experience. Very knowledgeable and hard working staff.
Denise E
Staff is Awesome!
Best Dentist on Marco. The staff is awesome. Cody is my Dental Hygienist. I have my teeth cleaned every three months. I was telling her I think I’d rather have my teeth cleaned than have a massage lol!
Lisa B
No Pain!
On time, fast, no pain, and friendly. Who could ask for more?
Julio T
Outstanding Dental Practice!
Outstanding dental practice, from the front office to the dental chair. I have the pleasure of having Cody as my regular hygienist, she does an outstanding job! Dr. Van Dyke has performed work on my teeth. Recently had a broken cap replaced, the fitting was right on the first try. I have never had a cap placement that was so quick and accurate. I would highly recommend this dental practice.
Thomas T
Terrific Job!
From the greeting at reception to the pain of payment, Dr. Van Dyke’s crew do a terrific job. Cody is a fantastic, skilled, caring hygienist…and painless!
Thomas M
Everyone is Caring
Excellent! Everyone is caring and explains all the procedures to you. Dr. Van Dyke is simply the best.
Melody K
Highly Recommend!
Wonderful new patient experience! My hygienist Lorraine was friendly and gentle, which made the cleaning very comfortable. The doctor took his time with me answering questions and concerns. Highly recommend!
Karlea R
The Best!
Very happy with results. Staff is the best. Dr. Van Dyke does fillers as well.
Carol D
Friendly Staff!
Very friendly staff .. very thorough exam .. best I think I’ve ever had
Janet D
Personable and Thorough!
An excellent cleaning. Dr Van Dyke is very personable and thorough. It was a very pleasant experience. I Recommend them highly.
Phyllis S
Service was Incredible!
I went for an issue with my retainers, and I loved the place. The service was incredible, the materials were state-of-the-art, and the doctor was very skilled, making me feel secure and with a great personality! I will definitely go there whenever I have any dental problem.
Alberto E
Love this Place!
Love this place! They have the best team and technology. Thank you Island Tower Dentistry!
Chipi
The Most Thoughtful
Love these professionals! From the front desk to Lorraine – the most thoughtful and caring RDH. They are the best on the island.
Pattie Z
Very Friendly!
Everyone at Island Tower Dentistry is very friendly, welcoming and professional!
Julie V
The Best!
Had my regularly scheduled dental appointment this morning. As usual no waiting. Cody was great and Dr Van Dyke is the best!
Alex D
Excellent Experience!
Saw Lorraine for my hygiene appointment yesterday and had an excellent experience. My teeth feel great and glass-smooth clean. Highly recommend this office and staff!
Had a great experience getting my teeth cleaned at Island Tower. Veronica was very thorough with my hygiene exam and took extra time to check my gums and all aspects of my oral health. Never felt rushed like I have when I went to a corporate dental office. Dr. Van Dyke is very nice and knowledgeable about anything dental related. They treat you like a family member here, which is becoming more and more rare nowadays.
Brian G
Gentle and Thorough!
First-time patient for Island Tower Dentistry with Lorraine as my hygienist. She was gentle and thorough with great detail. Dr, Van Dyke is a caring and friendly dentist who went over every detail of my x-rays and gave me a thorough exam with suggestions for keeping my teeth healthy and possible revisions for improvement. I am very happy that I chose Island Tower as my current dental place.
Jeany D
She is the Best!
Lorraine has worked on my teeth 3 or 4 times and has also been very professional and does a remarkable job. She is the best.
Jim S
Couldn’t Ask for More
Lorraine is the best hygienist I have ever been to. She is professional, thorough and knowledgeable. Couldn’t ask for more
Zoe B
Great Experience!
Great experience for when we were in town for a short vacation and my son needed an emergency visit for a severe ache that started during the trip.
Jack K
Wonderful Practice!
Wonderful practice! Zen waiting room with dimmed, calming lights. They have a wonderful staff and knowledgeable, friendly hygienists (Veronica is the best!!!). There are tv’s in the rooms playing nature videos to ease your nerves, and an awesome playlist playing in the background of the rest of the practice (the day I went it was classic rock – the best). Dr. VanDyke is very professional yet extremely personable and welcoming. I couldn’t recommend this practice enough. It has changed my mind about the dentist office tenfold. I honestly can’t wait until my next appointment!
Nadine G
Most Wonderful!
I just came back from another cleaning with the most wonderful people on the planet. Thank you so much for your help.
Michael M
Fantastic!
Everyone, including the office staff, was very kind and professional.
Lorraine was fantastic!
John T
Reliable
Expertise
Professional
MAKE AN APPOINTMENT OR CALL US AT 239-394-1004
Visit Us Today
Island Tower Dentistry offers general and cosmetic dental services founded on decades of expertise combined with the latest innovative dental technology. Additionally, we are conveniently located near the Southwest corner of North Collier Boulevard, and Bald Eagle Drive in the heart of Marco Island, Florida.
Our Marco Island Dentist and staff are always happy to discuss your oral health in order to recommend the ideal procedure, product or health care plan to keep your teeth and gums at their healthiest. In addition, cosmetic injectables and fillers for the lips and face are also available to further compliment your smile.
We are grateful you have chosen Island Tower Dentistry for your dental needs. Moreover, we will do our utmost to make sure you are happy with how your smile looks and feels.
Thank you for visiting us online, and we look forward to seeing you in our offices soon.

We’ll Keep Your Smile Looking Beautiful
-
606 Bald Eagle Dr. Ste 200, Marco Island, Florida 34145
-
Monday through Thursday | 8:00 am – 4:00 pm
-
Closed Fridays | Call our office for emergencies
Learn More About Island Tower Dentistry
If you’re looking for cosmetic, general, or emergency dentist in Marco Island, FL, please contact Island Tower Dentistry today!
Frequently Asked Questions: Marco Island Dentist
Why choose Island Tower Dentistry?
Patients choose us because:
- We provide expert dental care with a personal touch
- Our office offers a comfortable, state-of-the-art setting
- We tailor every treatment plan to your unique needs
Who are the dentists at Island Tower Dentistry?
Our practice is led by Dr. Jonathan Van Dyke, DMD, and Dr. Ryan Whelen, DMD. Both bring advanced training in general, cosmetic, and implant dentistry. They are passionate about using the latest technology to provide gentle, comprehensive care.
Who do you serve?
Island Tower Dentistry proudly serves Marco Island residents and the surrounding areas. Whether you’re a permanent resident, a seasonal snowbird, or a visitor, our team welcomes patients of all ages.
Do you accept new patients in Marco Island and Naples?
Yes! We welcome year-round residents, seasonal visitors, and guests. Our team provides personalized care for patients of all ages.
What dental services are most popular in Marco Island?
Some of the most requested services include:
- Preventive cleanings & checkups
- Dental implants and All-on-4
- Cosmetic treatments like whitening, veneers, and crowns
- Invisalign® and complete smile makeovers
What are your office hours?
We are open Monday through Thursday from 8:00 am to 4:00 pm. We are closed on Fridays. Call our office at 239-399-5421 for emergencies.
Do you offer emergency dental care in Marco Island?
Yes. Our emergency services cover:
- Broken, chipped, or knocked-out teeth
- Lost fillings or crowns
- Sudden tooth pain or infections
- & more
We prioritize your comfort and act quickly to provide relief. Call our office at 239-399-5421 for emergencies.
Do you accept insurance and offer payment plans?
Yes. We work with many major dental insurance providers and offer flexible financing options. Our team helps patients understand coverage and costs.










